Δημοσιεύσεις

Κάταγμα πρόσθιων δοντιών

3 Μαρτίου, 2019 |


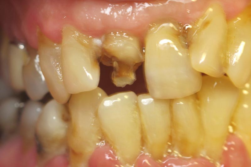
Η αντιμετώπιση των αισθητικών προβλημάτων σε πρόσθια δόντια μπορεί να είναι διαφορετική και οι λύσεις που μπορούμε να δώσουμε σε κάθε ασθενή ποικίλουν, ανάλογα με τις ανάγκες του καθενός, την αισθητική άποψη των ασθενών, την κοινωνικοοικονομική τους κατάσταση και τις προτεραιότητες τους τη συγκεκριμένη χρονική περίοδο.

Έτσι λοιπόν όταν εμφανισθεί κάποιος με πρόβλημα αισθητικό σε πρόσθια περιοχή οι λύσεις που μπορούμε να προτείνουμε είναι οι ακόλουθες:

1ον Άμεσες αποκαταστάσεις ρητίνης - χτίσιμο δηλαδή του δοντιού με υλικό, με ή χωρίς ενδοδοντική θεραπεία του σπασμένου δοντιού (αυτό Θα κριθεί σε κάθε περιστατικό).

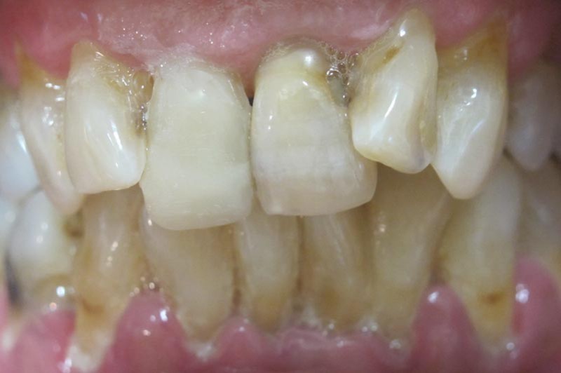
2ον Συγκόλληση —αν αυτό είναι εφι­κτό και υπάρχει— του σπασμένου τμήματος του δοντιού και τοποθέτη­ση άμεσης όψης από νανοενισχνμένη ρητίνη για χρωματική ισορροπία και ενίσχυση.

3ον Άμεσα συγκολλούμενο γεφύρωμα στη Θέση τον σπασμένου δοντιού, ναρθηκοποιημένο με τα διπλανά του (πρόσθιο και οπίσθιο δόντι). Αυτό είναι πιο απλά μία κατασκευή δοντιού που Θα μπει στο κενό και Θα κολλήσει στις πίσω πλευρές των διπλανών δοντιών. "Οταν υπάρχει επαρκής επιφάνεια συγκόλλησης στα ακέραια δόντια - στηρίγματα, αυτή η λύση μπορεί να έχει μεγάλη διάρκεια. 'Ολες οι παραπάνω λύσεις αποτελούν άμεσες αποκαταστάσεις, είναι συντηρητικές, ελάχιστα επεμβατικές και σχετικά οικονομικές, εξυπηρετούν τον ασθενή που Θέλει μία μεση λύση και που ενδεχομένως δεν είναι προετοιμασμένος για μια πιο ακριβή λύση τη δεδομένη στιγμή.

Περισσότερο επεμβατικές λύσεις είναι:

4ον Ο τροχισμός των πλάγιων διπλανών δοντιών και η τοποθέτηση γέφυρας. (Αυτό βέβαια δεν είναι η ιδανική λύση όταν τα δόντια αυτά είναι γερά και άθικτα).

5ον Η τοποθέτηση εμφυτεύματος με στεφάνη. Ουσιαστικά είναι σαν να ξαναβάζουμε στον ασθενή το δόντι που έχασε (αν φυσικά αυτό έχει εξαχθεί). Λειτουργικά και αισθητικά αυτή είναι η πιο όμορφη και αποδεχτή λύση. Οικονομικά είναι πιο ακριβή από τις υπόλοιπες.

Σε κάθε περίπτωση θα πρέπει να πραγματοποιείται μία συνεδρία - επίσκεψη στο οδοντιατρείο για να αξιολογηθεί το περιστατικό, να εξηγήσει ο οδοντίατρος στον ασθενή την κάθε λύση (δείχνοντας σε κάθε περίπτωση φωτογραφίες και εκμαγεία για να καταλάβει ο ασθενής πλήρως την κάθε αποκατάσταση) και από κοινού να αποφασίσουν ποια είναι η καλύτερη λύση γι' αυτόν.


(An unexpected error occurred: #172259) (An unexpected error occurred: #172260)